Advanced Implant Dentistry
Back
Dental Implants
Same-Day Smiles Full Mouth Implants
How It Works
Zygomatic Dental Implants
Fixed Teeth vs. Removable
Zirconia Fixed Bridges
Additional Services
Back
Bone Grafting
Tooth Extractions
Sedation Dentistry
Remarkable Results
Back
Patient Stories
Before & After Photos
Our Advantage
Back
Meet Dr. Renan Buitrago
Commitment To Excellence
Video Library
What To Expect
Back
Patient Center
Our Facility
Insurance & Financing
Contact Us
Contact Us
Directions
Coral Springs, FL
Current Patients
New Patients
Close
Before & After Photos - Coral Springs, FL
The Proof Is
In Our Patients
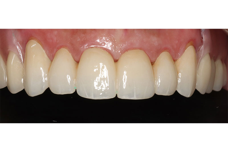
Before & After Photos
All
Aesthetic Ceramic Crowns
Cosmetic Implant Crown
Full Mouth Reconstruction
Implant Bridge Replacement
Same Day Smiles
Smile Makeover
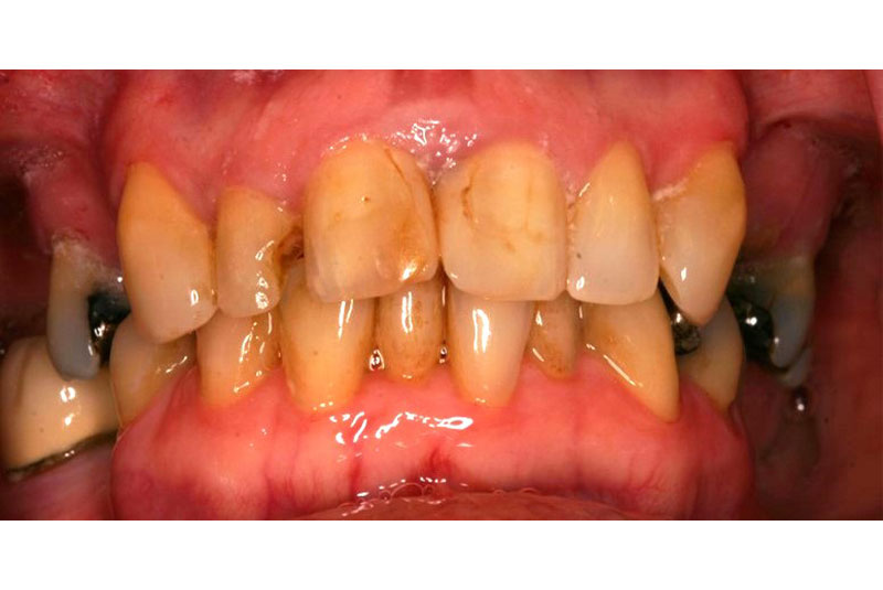
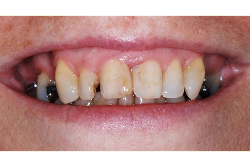
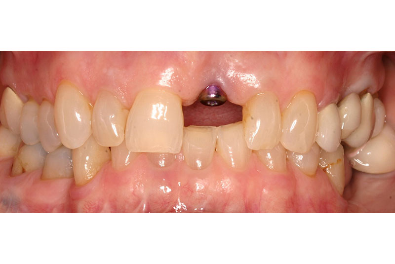
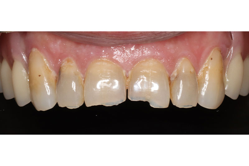
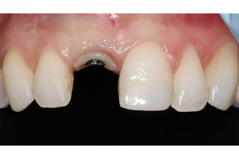
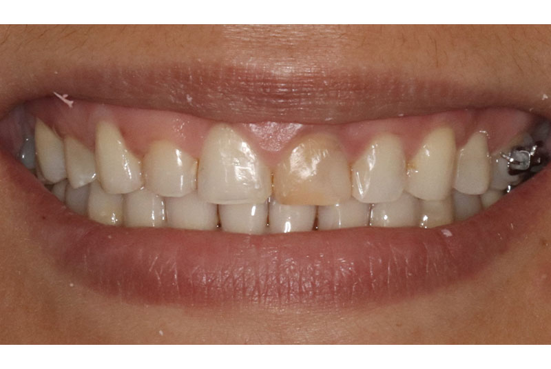
Before
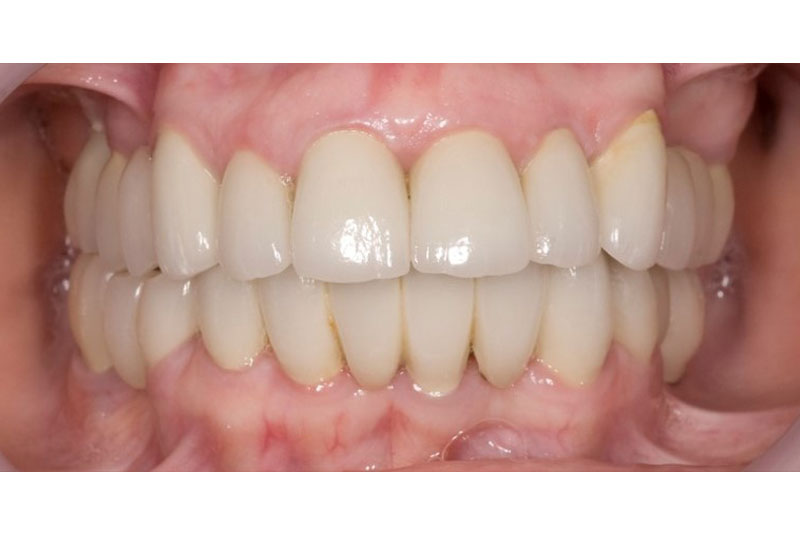
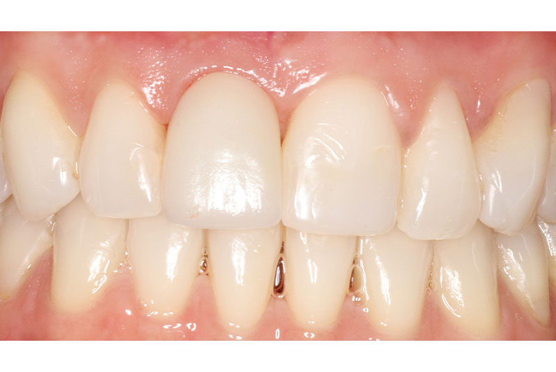
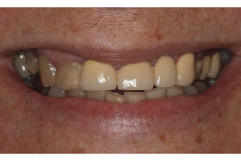
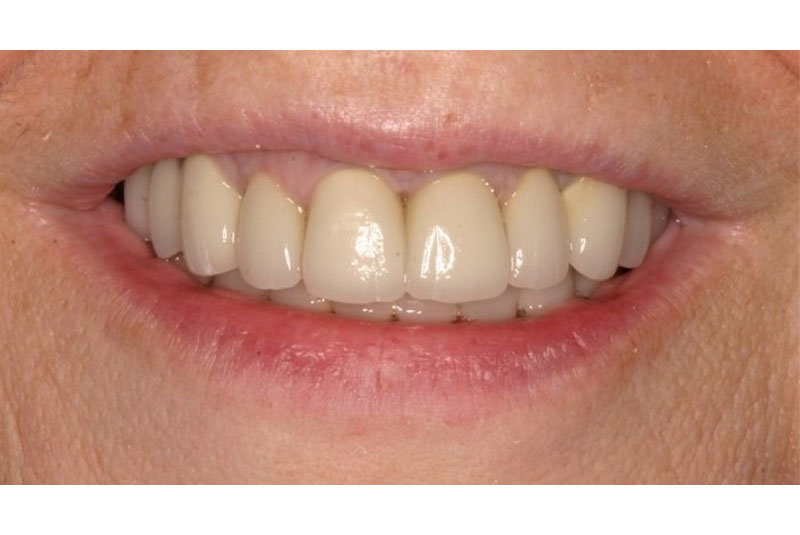
After
Before
After
Before
After
Before
After
Before
After
Before
After
Before
After
Before
After
Before
After
Before
After
Before
After